Rua das Pitangueiras, 695 Setor Comercial, Sinop - MT

Tomografia Computadorizada em Sinop com Resultados Rápidos e Confiáveis

É aqui na Alpha X!

Com tecnologia de ponta e equipe especializada para cuidar da sua saúde.

Ambiente moderno
e aconchegante

Instalações modernas, bem decoradas e pensadas para proporcionar um ambiente acolhedor e relaxante.

Estamos prontos
para lhe atender!

Atendimento de Segunda à Sexta
das 07h00 às 11h30 / 13h30 às 18h00.

Na Alpha X você encontra exames completos e específicos para cada necessidade de saúde.

Tomografia
de Crânio

Exame rápido e preciso, utilizado para investigar dores de cabeça, tonturas, traumas e alterações neurológicas.

Tomografia
de Torax

Permite avaliar pulmões, coração e vias respiratória. Essencial em diagnósticos de doenças pulmonares e acompanhamento clinico.

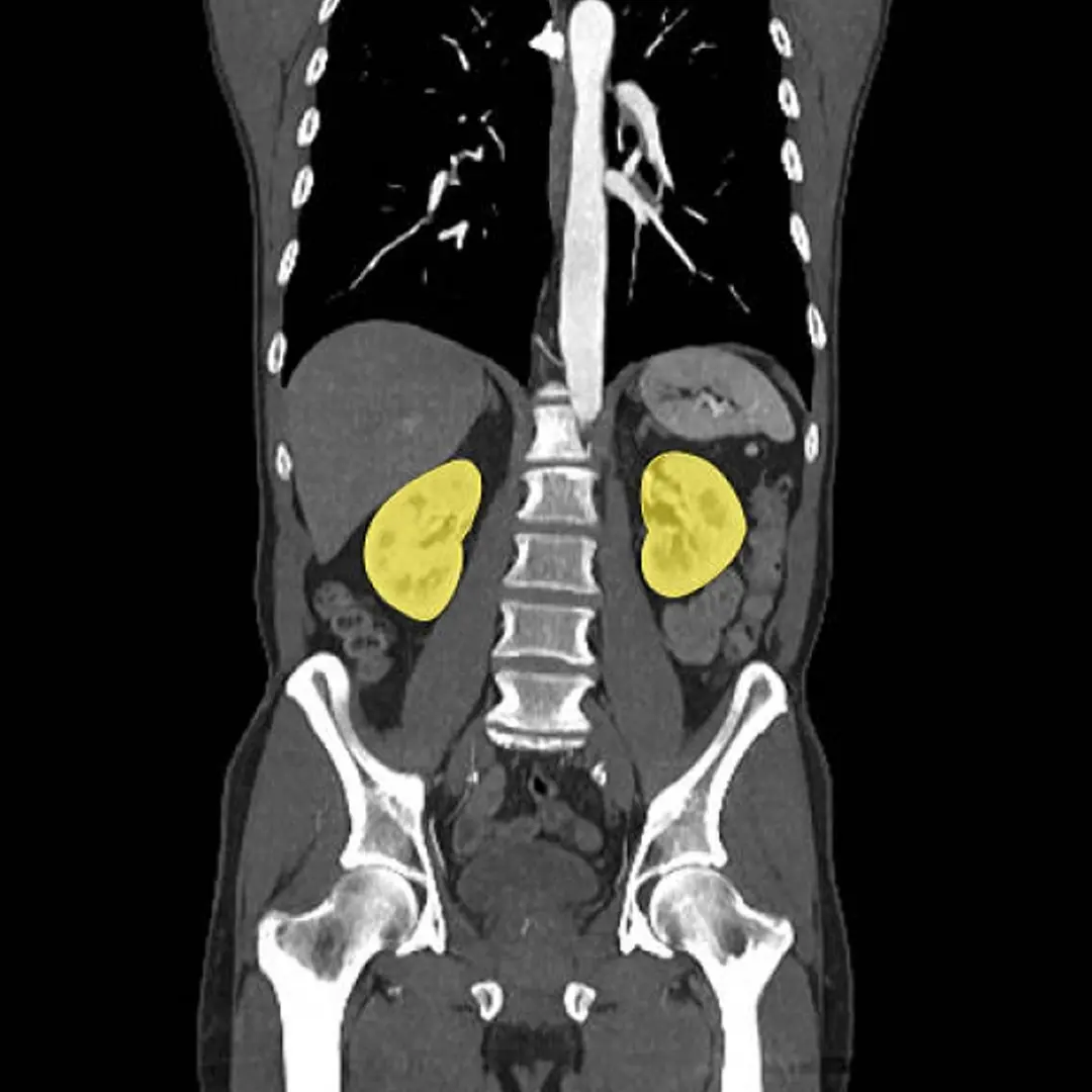
Tomografia
de Abdome e Pelve

Indicado para investigar fígado, rins, pâncreas. intestinos, útero, ovários e próstata, oferecendo imagens detalhadas da região abdominal e pélvica.

Tomografia
da Coluna

Exame direcionado para avaliação de hérnias de disco, fraturas e alterações estruturais da coluna.

Tomografia
dos Seios da Face

Usada no diagnostico de sinusites, pólipos e obstruções nasais, com alta precisão.

Tomografia
com Contraste

Melhorar a visualização de órgãos, tecidos e vasos sanguíneos, tornando mais fácil identificar tumores, inflamações, infecções, e alterações vasculares como aneurismas e tromboses, que não seriam visíveis em uma tomografia simples.

Fazemos tomografias
com agendamento

Agende sua tomografia no horário, com atendimento rápido e resultados precisos.

Receba o resultado da sua tomografia no prazo certo!

Agilidade na entrega dos resultados para que você possa tomar decisões de saúde sem atrasos.

Ambiente moderno
e aconchegante

Instalações modernas, bem decoradas e pensadas para proporcionar um ambiente acolhedor e relaxante.

Conheça nosso espaço!

Tenha confiança na sua tomografia! Na Alpha X garantimos precisão cuidado para a sua saúde!

Aqui prezamos por um

Ambiente
acolhedor

Perguntas frequentes

O exame de tomografia dói?

Não. O exame é indolor e totalmente seguro. Você apenas precisa permanecer deitado na posição indicada pelo técnico.

Em média, de 10 a 30 minutos, dependendo da região do corpo e se há necessidade de contraste.

Alguns exames de tomografia exigem jejum de 4 a 6 horas, principalmente quando há uso de contraste. Mas para a maioria dos exames simples não é necessário preparo especial.

O contraste iodado utilizado é seguro, mas em casos raros pode causar reações leves, como coceira ou calor passageiro. Nossa equipe avalia cada paciente e está preparada para oferecer todo suporte necessário.

Gestantes, em especial no início da gravidez, devem evitar a exposição à radiação. Também pacientes com alergia conhecida ao contraste devem informar previamente ao médico.

Na Alpha X, os exames são entregues rapidamente. O prazo médio é de 24 a 48 horas, dependendo da complexidade. Em casos de urgência, é possível ter prioridade.

Sim. O exame utiliza radiação em doses controladas, seguindo protocolos rigorosos de segurança. É um dos métodos mais confiáveis para diagnósticos precisos.

Todos os Direitos Reservados | Alpha X Diagnósticos por Imagem © 2025

Desenvolvido por